osteocondrosis es una enfermedad de clase mundial porque afecta a personas en todo el mundo (40-90%). Esta patología en la mayoría de los casos ocurre en personas en edad madura, después de los 30 años. El dolor de espalda en la vida cotidiana a menudo se atribuye a esta enfermedad. En nuestro artículo veremos los síntomas detallados, descubriremos las causas y los métodos de tratamiento de la osteocondrosis. En medicina, esta enfermedad se denomina una lesión del tejido espinal de naturaleza degenerativa-distrófica. La osteocondrosis se acompaña de lesiones de los discos intervertebrales, superficies articulares, cuerpos vertebrales y ligamentos. Como regla general, con la osteocondrosis, los huesos y ligamentos se ven afectados primero.
Hay varias etapas en el desarrollo de la osteocondrosis. Veámoslos con más detalle:
- La osteocondrosis en la etapa inicial parece deshidratación del núcleo pulposo, lo que provoca una disminución en la posición de las vértebras. Para que quede más claro al lector, expliquemos qué es el núcleo pulposo. Este término médico se refiere al interior del disco intervertebral, que está representado por componentes semifluidos (fibras de tejido conectivo) y gelatinosos (condrina). Durante este período, el paciente experimenta grietas en el anillo fibroso.
- La siguiente etapa está muy relacionada con la anterior: debido al prolapso vertebral, los ligamentos y los músculos se hunden. Esta condición provoca un desequilibrio motor de las vértebras. Este período se caracteriza por la espondilolistesis o, en términos simples, el desplazamiento de las vértebras.
- La tercera etapa del desarrollo de la osteocondrosis se caracteriza por manifestaciones más llamativas para una persona común: protuberancias de los discos intervertebrales (protuberancias de su contenido) y artrosis.
- La etapa final de la osteocondrosis está asociada con los osteofitos. Nuestro cuerpo, al notar la “holgura” de las vértebras, intenta devolver la columna a sus funciones originales: de soporte y protectora. Para conseguirlo, aparecen crecimientos óseos en las superficies de las vértebras, que se denominan osteofitos. Durante el mismo período, crece tejido fibroso. El resultado de estos procesos es el atrapamiento del segmento motor de la columna dentro del caparazón.
La osteocondrosis es una enfermedad de múltiples especies. Existen osteocondrosis de las regiones cervical, torácica y lumbosacra, así como un tipo común de osteocondrosis. La osteocondrosis de la articulación de la rodilla se ha vuelto cada vez más común en la práctica médica.
Razones para el desarrollo de la osteocondrosis.
Las razones del desarrollo de esta enfermedad son numerosas y no siempre son fáciles de determinar. Las personas se acercan al desarrollo de la osteocondrosis por el estilo de vida sedentario, tan común hoy en día, el exceso de peso, los malos hábitos (en particular, el tabaquismo), la mala alimentación, los pies planos, la actividad física intensa y la mala postura. Una lesión en la columna puede contribuir a la aparición de osteocondrosis y también puede desarrollarse por predisposición genética. Los trastornos metabólicos, las infecciones, las anomalías congénitas y los cambios relacionados con la edad son causas comunes del desarrollo de esta enfermedad. Un hecho interesante es la conexión entre el desarrollo de la osteocondrosis y las vibraciones. Esto afecta directamente a los conductores de maquinaria agrícola o a los operadores de máquinas.
La osteocondrosis actual no tiene restricciones de edad importantes: ocurre tanto en personas mayores como en jóvenes. Existe la opinión de que el desarrollo de la osteocondrosis está asociado con los depósitos de sal, pero esto no es del todo justo. Es más probable que los depósitos de sal sean consecuencia de la osteocondrosis. La causa del dolor en la osteocondrosis suele ser la irritación de las raíces nerviosas, lo que en medicina se llama irritación. Los trastornos vasculares en el contexto de la osteocondrosis se desarrollan debido a una alteración de la inervación del sistema vasomotor.
Síntomas de la osteocondrosis.

El síntoma más evidente de la osteocondrosis es el dolor y el malestar. El dolor no siempre es constante; puede empeorar periódicamente y luego desaparecer. Estos síntomas suelen ir acompañados de entumecimiento de las extremidades. En la mayoría de los casos, el dolor se irradia hacia el lado izquierdo del cuerpo. Si nota síntomas de esta enfermedad en usted mismo, apúrate y consulta a un especialista: un terapeuta o un neurólogo. La detección temprana de la osteocondrosis mejorará la eficacia de su tratamiento.
Con la osteocondrosis, los pacientes a menudo se quejan de un aumento de la fatiga. Una característica interesante, que a primera vista no está claro cómo se relaciona con esta enfermedad, es el escalofrío de las extremidades. El dolor de cabeza y la sensación de mareo suelen acompañar a la osteocondrosis. Un rasgo característico de la enfermedad es también una gran fatiga ocular e incluso una disminución de la visión. Con osteocondrosis de la región lumbosacra, los pacientes pueden experimentar problemas con el sistema reproductivo. Es importante que las mujeres sepan que la osteocondrosis puede interferir con el curso normal del embarazo y con la concepción misma. Cada tipo de osteocondrosis tiene sus propios signos característicos. Así, con el tipo cervical de la enfermedad, se observan signos en forma de dolores de cabeza (especialmente al mover la cabeza), mareos al girar la cabeza, alteración de la sensibilidad de la zona afectada, dolor en el cuello, omóplato, brazos y pecho. Un síntoma interesante y no particularmente agradable de la osteocondrosis cervical es la alteración de la movilidad de la lengua. El tipo de osteocondrosis torácica es poco común y se caracteriza por dolor en el pecho, especialmente al respirar. El dolor puede irradiarse al estómago, al corazón y al hígado. Este tipo también se caracteriza por entumecimiento, sólo que ahora en la zona del pecho. Con patología lumbosacra, los pacientes a menudo se quejan de dolor que se irradia a las piernas. Otro síntoma de este tipo de osteocondrosis es la paresia de las extremidades inferiores.
Métodos para diagnosticar la osteocondrosis.

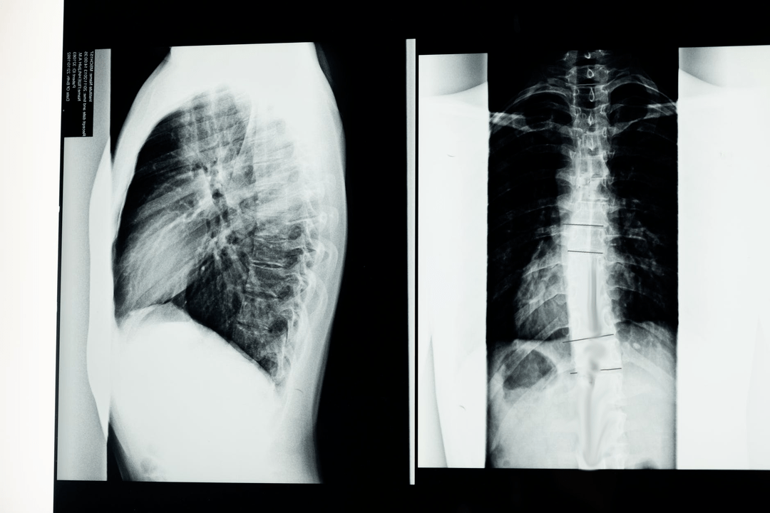
Antes de comenzar los estudios de diagnóstico, el neurólogo recopila el historial médico del paciente y estudia cuidadosamente sus quejas. La osteocondrosis tiene síntomas comunes con algunas otras enfermedades, por lo que es importante poder diferenciar patologías. Los estudios de rayos X ayudarán a confirmar el diagnóstico de osteocondrosis: radiografía, mielografía y tomografía computarizada.
Una radiografía de estudio le permite obtener una imagen de rayos X de la columna o de una sección de ella. De esta forma, el médico puede determinar el lugar afectado por la enfermedad. Para mayor claridad, explicaremos cómo se puede determinar la osteocondrosis mediante rayos X: la imagen mostrará un estrechamiento del disco intervertebral, la presencia de crecimientos óseos (osteofitos) o un cambio en la forma del segmento espinal.
El examen mielográfico es más complejo que el examen radiográfico. Esto se debe a ciertas manipulaciones que los médicos deben realizar durante la mielografía: se inyecta líquido de contraste en el canal de la médula espinal. Esto puede representar un peligro para el paciente: en primer lugar, se puede desarrollar una reacción alérgica a la sustancia inyectada y, en segundo lugar, si la punción no tiene éxito, se puede dañar la médula espinal. A pesar de esto, la mielografía realizada correctamente permite a los especialistas observar la estructura interna del canal de la médula espinal. Este método es especialmente importante para diagnosticar una hernia espinal.
La TC (tomografía computarizada) y la RM (resonancia magnética) son los métodos más eficaces y modernos para diferenciar la osteocondrosis y las enfermedades de la columna vertebral con síntomas similares.
Tratamiento de la osteocondrosis

El tratamiento de la osteocondrosis se lleva a cabo de manera integral. Esta terapia actúa para eliminar el síndrome principal y las causas de la enfermedad. Para combatir la osteocondrosis, los médicos utilizan acupuntura, tratamiento de vacío, terapia manual, tratamiento con láser, tracción, estimulación eléctrica, punción farmacológica y magnética. La principal tarea para obtener un tratamiento eficaz es la detección oportuna de la enfermedad. Las personas que se enfrentan a esta grave enfermedad están preocupadas por la pregunta principal: ¿es posible curar la osteocondrosis? La respuesta dependerá de la forma y el grado de osteocondrosis. Si el tratamiento de la enfermedad se inicia en la primera etapa, podrá deshacerse de la osteocondrosis para siempre.
Para tratar la osteocondrosis, los médicos utilizan métodos medicinales y no medicinales. Entre los fármacos utilizados en el tratamiento de la osteocondrosis, cabe destacar:
- Medicamentos antiinflamatorios no esteroideos. Ayudan a eliminar el dolor y la inflamación. Los AINE se pueden recetar para uso tópico en forma de ungüentos y geles.
- Bloqueos de novocaína. Se enfrentan eficazmente al dolor.
- Medicamentos esteroides. Se prescriben en forma de inyecciones epidurales e intramusculares.
- Relajantes musculares. Estos remedios ayudan al paciente a combatir los espasmos musculares.
- Vitaminas B1, B6 y B12. Ayudarán a mejorar los procesos metabólicos necesarios para la salud de la columna.
Los ejemplos de tratamientos no farmacológicos son variados, interesantes y agradables. Lo siguiente le ayudará a afrontar las manifestaciones de la osteocondrosis sin medicamentos:
- terapia de ejercicios;
- fisioterapia;
- masaje;
- terapia manual;
- tracción;
- reflexología.
Veamos estos métodos de tratamiento con más detalle. La fisioterapia en el caso de la osteocondrosis es una selección de ejercicios físicos para eliminar la compresión de las raíces nerviosas, corregir la postura y fortalecer el corsé muscular. La terapia con ejercicios ayuda a prevenir el desarrollo de complicaciones de la osteocondrosis. Esta actividad física ayuda a reducir la carga directamente sobre la columna vertebral y también mejora su suministro de sangre.
Se prescriben procedimientos fisioterapéuticos a pacientes con osteocondrosis para eliminar el dolor y la inflamación. La electroforesis, el ultrasonido, el láser y el tratamiento magnético funcionan eficazmente en esta área. El masaje estimula la circulación sanguínea y alivia la tensión muscular. No solo el masaje terapéutico ayuda a eliminar el dolor, sino también la terapia manual. Además, ayuda a devolver la movilidad a las vértebras y a corregir la postura.

Tracción... ¿qué es? Debajo de esta palabra, a primera vista, incomprensible se esconde un significado simple: "extensión". El deseo de estirar la columna probablemente sea familiar para todas las personas que padecen osteocondrosis. En la medicina actual existen dispositivos especiales que permiten hacer esto. Este procedimiento le permite deshacerse del dolor y aumentar el espacio intervertebral.
Otro método interesante de tratamiento no farmacológico de la osteocondrosis es la reflexología. Está estrechamente relacionada con la acupuntura, ya que implica influir en puntos reflexogénicos del cuerpo humano.
La mejor cura para la osteocondrosis.
Un remedio ideal para la osteocondrosis debería eliminar el dolor y la inflamación, mejorar la circulación sanguínea, restaurar la movilidad del cartílago y las articulaciones y también reducir la depresión en el paciente. Un complejo de medicamentos bien elegidos hace frente a todas estas tareas. En esta parte del artículo analizaremos todos estos fármacos en detalle.
Medicamentos antiinflamatorios no esteroides o AINE para la osteocondrosis

Los AINE ayudan a un paciente con osteocondrosis a superar el dolor, la inflamación y la hinchazón. Estos medicamentos se pueden producir tanto para uso externo local en forma de ungüentos y geles como para uso interno en forma de tabletas y soluciones inyectables. Los antiinflamatorios no esteroideos pueden ser de diferentes grupos:
- Un grupo de medicamentos con el ingrediente activo diclofenaco. Estos medicamentos potencian el efecto analgésico de otros analgésicos y reducen la inflamación. La desventaja de este grupo es la imposibilidad de su uso durante el embarazo y la lactancia.
- A diferencia de los medicamentos anteriores, los medicamentos del grupo del ibuprofeno están aprobados para su uso en mujeres embarazadas y lactantes bajo la supervisión de un médico. La sustancia es bien tolerada y, por tanto, puede prescribirse a niños.
- El grupo de medicamentos ketoprofeno tiene un efecto analgésico acelerado.
- Los AINE de nueva generación incluyen el grupo Nimesulide. Tienen efectos secundarios mínimos.
Vasodilatadores para la osteocondrosis.
El estrechamiento de los vasos sanguíneos en la osteocondrosis se observa en relación con el dolor y la tensión muscular. Como resultado, se produce falta de oxígeno en los tejidos dañados y, como resultado, se altera la funcionalidad de los órganos internos. Para evitar tales complicaciones, los médicos recetan medicamentos vasodilatadores a sus pacientes.
Relajantes musculares para la osteocondrosis.
Los relajantes musculares relajan los músculos y tienen un efecto calmante. Esto tiene un efecto beneficioso sobre el flujo sanguíneo y favorece el efecto analgésico de los fármacos antiinflamatorios no esteroides. Los relajantes musculares también ayudan a acelerar el proceso de reparación del tejido dañado.
Condroprotectores para la osteocondrosis.
Los condroprotectores y los complejos vitamínicos ayudan a restaurar el tejido del cartílago. Se entiende por condroprotectores agentes que restauran no solo el tejido del cartílago, sino también la movilidad de la articulación. Los medicamentos dignos de este grupo son los que se basan en condroitina y glucosamina.
Sedantes para la osteocondrosis.
Al parecer, ¿por qué tomar sedantes en el tratamiento de la osteocondrosis? La respuesta no es tan complicada como podría pensarse: un síndrome de dolor que persigue a una persona durante un largo período de tiempo puede provocar fácilmente depresión y estrés frecuente. En la mayoría de los casos, será suficiente tomar tintura de valeriana o agripalma.
El médico tratante debe seleccionar medicamentos para el tratamiento de una enfermedad tan grave como la osteocondrosis.
Corsé para la osteocondrosis

En el complejo tratamiento de la osteocondrosis de cualquier tipo, los médicos consideran útil el uso de un corsé. Los corsés se fabrican especialmente por separado para las regiones cervical, torácica y lumbar o para la fijación completa de la columna. Para la osteocondrosis torácica, se utilizan corsés hechos de un material elástico especial con férulas de metal o plástico en su interior. Para la osteocondrosis lumbar, se utilizan corsés con inserciones transversales y longitudinales rígidas de metal o plástico. El material utilizado para la producción es cinta adhesiva o neopreno. Un corsé para el cuello se llama collar y es rígido. Los corsés que reparan toda la columna también se denominan correctores de postura. Los corsés vienen en blandos, medios y duros. El grado de rigidez del corsé lo prescribe el médico tratante de forma individual.
El uso de un corsé para la osteocondrosis ayudará a fortalecer los músculos de la espalda, reducirá el dolor, mejorará la postura, evitará el desarrollo de complicaciones y acelerará la recuperación. Existen ciertas reglas a la hora de usar un corsé. Los pacientes con osteocondrosis definitivamente deben consultar con un especialista sobre la elección y la necesidad de usar un corsé. Por primera vez, el corsé se coloca durante no más de 15 minutos y luego no se puede usar más de 6 horas al día.
Prevención de la osteocondrosis
La prevención es de gran importancia para mantener la salud de la columna y prevenir las exacerbaciones de la osteocondrosis. Para la prevención es necesario llevar un estilo de vida saludable y activo, hacer ejercicio y combatir el exceso de peso, si lo hubiera. El estrés y el shock nervioso también pueden provocar el desarrollo de osteocondrosis. Por eso, es importante controlar su estabilidad mental y evitar situaciones estresantes. Las lesiones una vez recibidas pueden eventualmente responder de manera negativa, por lo que es necesario evitarlas desde la infancia. De particular importancia es una nutrición adecuada para la osteocondrosis y su prevención.
Dieta para la osteocondrosis

Algunos expertos hablan del importante papel de la nutrición para la salud de la columna. Los productos consumidos por una persona deben aportarle sustancias que sinteticen el tejido cartilaginoso. Estamos hablando de mucopolisacáridos contenidos en gelatina, carne en gelatina y gelatina. Es importante controlar la ingesta suficiente de líquidos, ya que su falta provoca la deshidratación de los discos intervertebrales. Las proteínas son útiles en una dieta normal y especialmente en presencia de osteocondrosis. Estas sustancias se pueden obtener de la carne, frutos secos, pescado, judías y berenjenas.
Los minerales y vitaminas fortalecen el tejido óseo. Así, podemos obtener calcio de los quesos duros, los productos lácteos, los frijoles y la lechuga. Es importante recordar que la vitamina D, que se encuentra en los huevos, la mantequilla y el pescado de mar, es necesaria para la absorción del calcio. El magnesio ayuda a retener el calcio en el tejido óseo y evita que se elimine del cuerpo. El magnesio se puede obtener comiendo pepinos, nueces y semillas de girasol. Mucha gente conoce el contenido de fósforo en el pescado, pero el hecho de que este elemento también esté incluido en la composición de los guisantes, la soja, el salvado y la col blanca es un hecho menos conocido. Las fuentes de manganeso incluyen la carne de pollo, las yemas, el requesón, la piel de patatas y los plátanos.
Entre las vitaminas cabe destacar el especial papel de los grupos A, B y C. Las fuentes de vitamina A son los huevos crudos, el hígado, la zanahoria y el melón. La carne de cerdo, la ternera, los mariscos, las setas y los cereales contienen vitamina B. El ácido ascórbico, que nos es familiar desde la infancia, se encuentra en frutas y verduras frescas.
Así, si nos fijamos en los productos incluidos en la dieta para la osteocondrosis o para su prevención, veremos que a partir de esta lista podemos crear un menú de platos muy sabrosos y variados.
Ahora veamos los productos prohibidos. La lista negra de productos para la osteocondrosis incluye: sal, encurtidos y adobos, especias picantes, alimentos procesados, azúcar (se puede sustituir por miel), refrescos y café.
Complicaciones de la osteocondrosis.

La osteocondrosis, si no se trata adecuadamente, puede provocar una discapacidad en el paciente. Las complicaciones de esta patología incluyen:
- Estenosis de la médula espinal por estrechamiento de su canal. Esto provoca entumecimiento en las extremidades y problemas para caminar.
- Nervios espinales pinzados.
- Protrusión discal y posteriormente hernia intervertebral.
- Radiculitis.
- Lumbago y ciática.
- Distonía vegetativo-vascular.
- Hernia de Schmorl.
- Desplazamiento vertebral.
- Migraña y dolores de cabeza.
Con la osteocondrosis de la columna cervical, a menudo se observa un aumento de la presión arterial.
Si tiene quejas sobre la salud de su columna, apresúrese a buscar ayuda de un médico, porque el tratamiento oportuno es la clave para una recuperación exitosa.





















